Toggle navigation
شرح واسئلة
الاقسام
تعليم حكومي
تكنولوجيا معلومات
صحة
اعمال
تقارير
تصميم
برمجة
تسويق
رسم هندسي
هندسة
تعليم عالي
تعليم
امن معلومات
تكنولوجيا
فيديو + صوتيات
مقالات
الرئيسية
ادخل شئ للبحث عنه
اصدار جديد من اللعبة الشيقة Call Of Duty باسم Black Ops Cold War
صور و فئات و اسعار افالون 2013 – Toyota Avalon
هيونداي تكشف عن كونا 2019 الكهربائية الجديدة
معركة اليرموك.. انهاء الوجود الرومي في الشام
تضرب بلا سبب .. و تطير بلا جناح .. و تسبب الفرح و الغضب .. فما هي ؟
الرهاب الاجتماعي لدى الاطفال
علامات تدل على إدمان الألعاب الإلكترونية
عرض شانجان CS5 2019 من وكالة المجدوعي للسيارات
اقرأ ايضا
ماذا يحدث اذا انفجرت ” الزائدة الدودية “
صحة
التاريخ: 25/10/2018
علاج الحموضة بسرعة
صحة
التاريخ: 14/9/2020
الفرق بين هرمون الاستروجين والبروجسترون
صحة
التاريخ: 15/8/2018
اسباب واعراض نقص الكالسيوم وعلاجه
صحة
التاريخ: 25/2/2017
5 خطوات للتخلص من الدهون الثلاثية في الدم
صحة
التاريخ: 9/4/2019
الجرعات اليومية الموصى بها من المغنيسيوم
صحة
التاريخ: 27/8/2018
افضل نظام غذائي للمراهقين
صحة
التاريخ: 31/5/2014
ماهي حبوب فيتامينات برفكتيل Perfectil ؟
صحة
التاريخ: 30/7/2015
طريقة عمل بسبوسة السميد بالمنزل
المنزل
التاريخ: 15/5/2018
أهم الأغذية للمرآة الحامل
الام والطفل
التاريخ: 28/2/2015
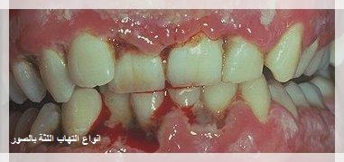
انواع التهاب اللثة بالصور
صحة
الصحة
25/10/2018
التهاب اللثة :
هو مصطلح يستخدم لوصف أمراض اللثة الغير مزمنة، وهو الشكل الأكثر شيوعًا في امراض اللثة ، وفي غياب العلاج قد يتطور التهاب اللثة إلى التهاب حاد ومزمن .
علامات وأعراض التهاب اللثة
أعراض التهاب اللثة غير محددة إلى حد ما فهي تظهر في أنسجة اللثة كعلامات أولية للالتهاب كما يوجد بعض العلامات مثل : – تورم اللثة واصابتها بالنزيف بسهولة.
– يصبح لون اللثة أحمر أو الأرجواني اللون.
– تصبح اللثة مؤلمة عند اللمس. بالإضافة إلى أن النتوء الموجود عادة على نسيج اللثة عند بعض الأشخاص يختفي، وتتورم اللثة وتمتد فوق الأنسجة الملتهبة، مما يخلق رائحة كريهة وعندما تتورم اللثة تصبح البطانة الظهارية لشق اللثة متقرحة مما يتسبب في اصابة اللثة بالنزيف بسهولة مع تنظيف الأسنان بالفرشاة أو بالخيط.
أسباب الاصابة بالتهاب اللثة
السبب الرئيسي لالتهاب اللثة هو عدم نظافة الفم بشكل جيد مما يؤدي إلى تراكم البكتيريا على اللثة، وبعمل ذلك على تدمير الأنسجة اللثوية، والبكتيريا الموجودة تنتج مواد كيميائية تخلق استجابة التهابية في أنسجة اللثة، وهذا الالتهاب يمكن أن يسبب تضخم في اللثة ويؤدي إلى الاصابة بباقي الاعراض.
انواع التهابات اللثة
هناك مستويات مختلفة من التهابات اللثة وهي:
– التهاب اللثة المبكر.
– التهاب اللثة المعتدل.
– التهاب اللثة المتقدم. حيث يعتبر التهاب اللثة هو أقرب وأبسط أشكال أمراض اللثة، وهو من الاراض التي يمكن علاجها بسهولة، وهناك أيضا أنواع مختلفة من التهاب اللثة، وتختلف هذه الانواع حسب سبب الاصابة وتشمل :
التقرح الحاد
هو أحد الأشكال الحادة من التهابات اللثة، وهو من الانواع الأقل شيوعًا حيث تصبح اللثة بعد الاصابة متقرحة بشدة ويبدو أنها تحتوي على مناطق مثقبة في الأنسجة، وعادة ما ينطوي على التهاب في الغدد الليمفاوية.
التهاب اللثة بسبب تناول بعض الادوية
يمكن أن يسبب تناول بعض الأدوية مشاكل في أنسجة اللثة، ويتم علاج هذه الحالة عادة عن طريق وقف تناول الأدوية واعطاء أدوية بديلة عن طريق الطبيب المعالج، وفي بعض الحالات قد يحتاج المريض إلى بعض التعديلات في اللثة من خلال العلاج بالليزر عن طريق طبيب الأسنان.
التهاب اللثة الهرموني
عادة يحدث بعض التهابات و الانتفاخ باللثة أثناء فترة الحمل بسبب الاختلالات الهرمونية، وعادة تحدث حتى مع الحفاظ على نظافة الفم، وتصاب السيدة الحامل بتورم في اللثة والنزيفن وسوف تختفي هذه الحالة بعد الولادة مباشرة.
التهاب اللثة بسبب سوء التغذية
تتسبب مشاكل التغذية مثل فقر الدم إلى شحوب اللثة واصابتها بنزيف حاد أثناء تنظيف الأسنان بالفرشاة أو بالخيط، ولعلاج هذا الالتهاب يجب تناول المكملات الغذائية الغنية بالحديد، بجانب اتباع نظام غذائي صحي يساعد في علاج فقر الدم، حيث يساهم سوء التغذية في ظهور الكثير من الأعراض الفموية .
التهابات اللثة بسب الجير
أحيانا تصاب اللثة بالاحمرار والالتهاب بسبب وجود كمية كبيرة من الجير، لذلك بفضل ازالتها كل فترة من خلال طبيب الاسنان.
التهاب اللثة المزمن
هو المرحلة الأكثر تقدما من التهاب اللثة، وتحدث إذا ترك التهاب اللثة بدون علاج لفترة طويلة.
التهاب اللثة الخطي
يرتبط هذا النوع من الالتهابات بفيروس نقص المناعة، وقد لا يسبب نزيف حاد إلا اثناء تنظيف الاسنان .
التهاب اللثة بسبب بعض الامراض
يمكن أن تؤدي بعض الأمراض المعدية مثل الأمراض الفطرية أو الفيروسية أو الجرثومية أو معدية، إلى ظهور أعراض التهاب في اللثة بسبب استجابة الجسم للمرض، ومن أمثلة هذه الأمراض التي تسبب تهيج في الغشاء المخاطي :
– الهربس.
– مشاكل في كريات الدم البيضاء
– مرض السيلان
– البكتيريا
– المبيضات الفطرية.
– الإيدز.
– سرطان الدم.
– فيروس نقص المناعة البشرية.
الوقاية والعلاج من التهابات اللثة
أفضل طريق الوقاية من التهاب اللثة هي الاهتمام بنظافة الفم، بتنظيفه بالفرشاة مرتين في اليوم على الأقل مرة، ويجب زيارة طبيب الاسنان كل ستة أشهر، وقد يوصي بعض أطباء الأسنان باستخدام الفرشاة بعد كل وجبة وقبل النوم، أو اجراء عملية لإزالة الجير .
اقرأ ايضا
تغيير سير الكاتينة و ضبط تقسيمة الكاتية
لهذا تم إعفاء ميسي من تهمة التهرب الضريبي
الاكواد الهندسية العالمية
مبادئ الإدارة - وأساليب القيادة الصحيحة
بوتين يضع قاذفات القيامة الروسية متأهبة لمحو اوكرانيا واوروبا
دراسة جدوى مشروع مكتب حج وعمرة
فيروس يهز الاقتصاد الصيني مما يفرض إعادة التفكير في كل شيء تقريبًا
تعريف وأركان عملية الاتصال اللغوى بين البشر
مبادئ الإدارة - نظرة عامة
أنظمة الأمن والحماية للتجارة الالكترونية
X
2024 skuilder.com™.